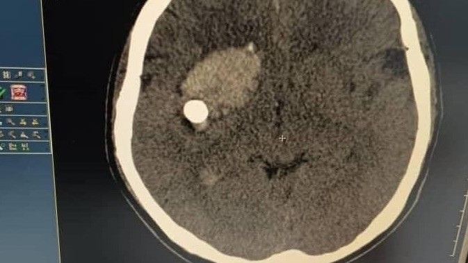
7-month-old baby seriously injured after 7yo brother accidentally shot him with shooting range in Osh region

AKIPRESS.COM - A 7-month-old baby in Alay district of Osh region was seriously injured when his 7-year-old brother accidentally shot him with a shooting range at home...
